皇冠信用网开户 _河南一大学生咳嗽发烧近一月,多家诊所误当感冒治,医生:肺已全白
皇冠信用网代理流程(www.hg01.vip)开会员号,招代理/条件好/平台出租/招登1登2登3地区代理本文转自【大河报】;
发烧长达近一个月,一直被当作普通感冒在小诊所治疗,谁能想到,最终竟发展到住进ICU的地步皇冠信用网开户 。回忆起过去两个多月的经历,19 岁的小王仍感觉像一场噩梦。
发烧近一月
跑遍老家诊所无果
小王来自河南新乡某县,在湖北一所大学攻读酒店管理专业皇冠信用网开户 。2024年11月,正在学校上课的他突然发起了烧。
他以为是天气转凉引发了感冒,便前往校医处拿了些退烧药服用皇冠信用网开户 。服用退烧药大约一周后,发烧症状有所缓解,小王便自行停止了用药。
此后,小王的身体逐渐消瘦皇冠信用网开户 。2025年1月下旬放寒假回到老家时,他已瘦了近30斤,体重从120斤骤降至90斤。
身高176cm的他,身形如同 “麻秆”一般,活脱脱瘦“抽条”了皇冠信用网开户 。
与此同时,发烧症状再次袭来皇冠信用网开户 。自1月底起,小王反复发烧,体温一直维持在37.5℃左右。他依旧认为是普通感冒,便在老家村里诊所拿了退烧药继续服用。
然而,四天过去了,退烧药毫无效果皇冠信用网开户 。小王又辗转到另一家诊所,尝试不同的退烧药,可病情依旧没有好转。
见小王反复发烧,退烧药也无法降温,医生建议他前往新乡市里的大医院进行抽血检查皇冠信用网开户 。检查结果显示,小王体内炎症反应较高,医生建议他回家继续使用抗生素治疗。
回到老家后,小王开始在诊所输液,但两天过去,依旧不见起色皇冠信用网开户 。无奈之下,小王又寻求中医调理,此时,他持续发烧已达大半个月。
肺部接近全白
转诊途中一度昏迷
展开全文
随后,小王的身体状况愈发糟糕皇冠信用网开户 。除了发烧,他开始喉咙发痒,进而发展为咳嗽,咳出的痰中还带有血丝,呼吸也变得困难,夜晚根本无法入睡。
联想到小王体重急剧下降,家人急忙带他前往新乡市的另一家大医院进行肺部 CT 检查和指脉氧检测皇冠信用网开户 。
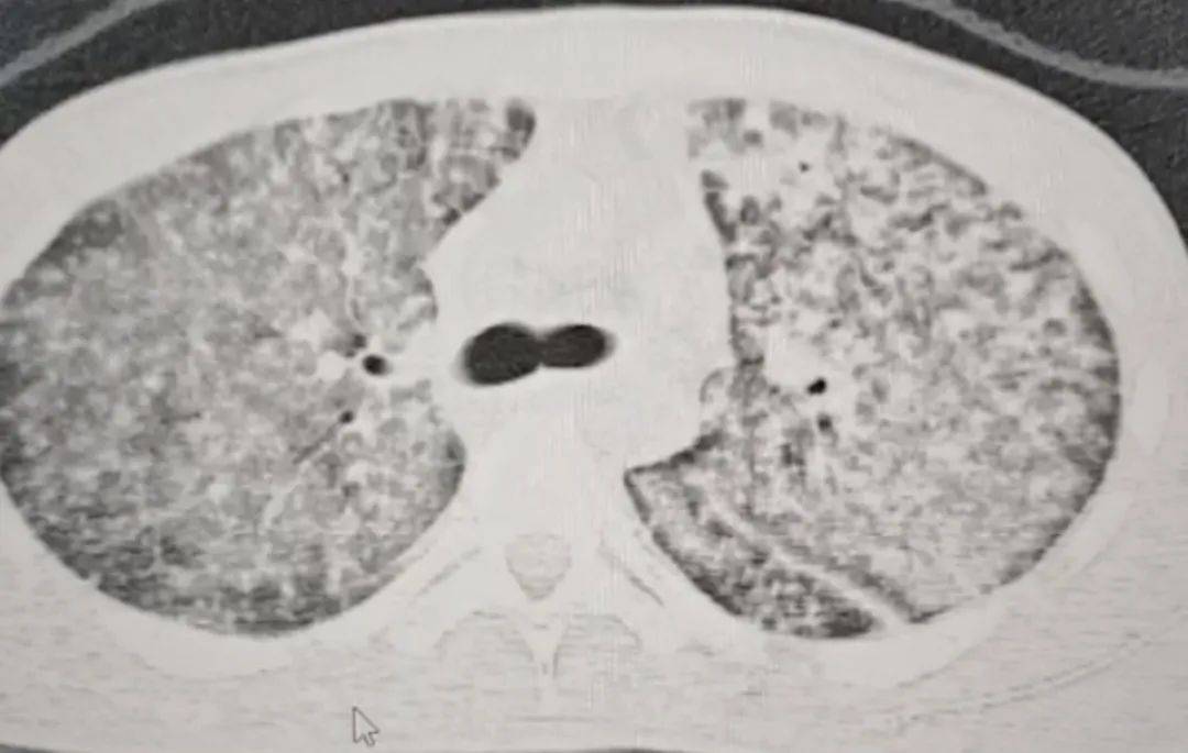
检查结果令医生大为震惊皇冠信用网开户 。肺部 CT 影像显示,小王的肺部几乎全白。
同时,指脉氧检测结果也极不理想,正常人的氧合指数在400-500左右,而小王的氧合指数仅有100皇冠信用网开户 。
这意味着,小王喘气次数远超常人,可体内氧气含量却远不及常人皇冠信用网开户 。医生怀疑小王患上了肺结核,且病情已十分严重,当即建议他转诊至郑州的大医院。
2025年2月18日,小王转至河南省胸科医院接受治疗皇冠信用网开户 。在前往郑州的途中,由于病情过重,小王一度陷入昏迷。
“他来我们医院时,我一看CT,双肺都呈现弥漫性病变,考虑白肺,情况十分危急皇冠信用网开户 。” 河南省胸科医院结核内科六/ 感染危重症病区主任梁瑞霞向大河报·豫视频记者讲述,小王因肺部感染引发了急性呼吸窘迫综合征。
随即,梁瑞霞主任组织科室副主任医师李健康等人,迅速对小王展开无创呼吸支持,以及抗结核、抗感染治疗皇冠信用网开户 。
三天后,小王的生命体征逐渐趋于稳定皇冠信用网开户 。十天后复查肺部CT,病区有明显改变。
一波未平一波又起
确诊结核性脑膜炎
本以为病情逐渐好转,可小王又遭遇了新的危机皇冠信用网开户 。在检查时,他被查出患有结核性脑膜炎。
“结核性脑膜炎,是结核分枝杆菌通过血液侵入脑部所致,这是结核病中最为严重的一种,比单纯的肺结核更为复杂,病死率也很高皇冠信用网开户 。” 梁瑞霞表示,小王出现这种情况,正是因为患上血行播散型肺结核后,结核杆菌跟着血液流动,血液流动到哪里,结核杆菌就会播散到哪里。
幸运的是,经过腰椎穿刺检查,小王并未出现颅内高压等更严重的状况皇冠信用网开户 。“这真是不幸中的万幸。” 梁瑞霞感慨道。
截至2025年3月24日,小王仍在省胸科医院住院治疗皇冠信用网开户 。目前,他的症状相比刚入院时已缓解了90%,已脱离生命危险。
更让小王欣喜的是,他的体重比刚入院时增加了十几斤皇冠信用网开户 。“刚到医院的时候,我真的以为自己没救了,那时候整夜睡不着,就怕自己睡着后再也醒不过来……”
随着小王身体逐渐康复,家人的脸上也重新露出了笑容皇冠信用网开户 。李健康透露,如果后续没有其他异常,大约再过一周,小王就可以出院回家休养。
“出院后,我最想好好吃一顿,我想吃虾皇冠信用网开户 。在医院这段时间吃得太清淡,嘴里都没味啦!” 谈及出院后的心愿,小王笑着告诉记者。
来 源:大河报·豫视频记者 侯冰玉 王雷雨
猜你喜欢
- 2025-10-19皇冠信用网登123出租 _最低将至0℃以下!石家庄未来三天最低气温持续下滑
- 2025-10-18皇冠信用盘怎么注册 _想和中方谈谈,但荷兰还在狡辩:不是美国让干的
- 2025-10-18如何申请到皇冠信用網 _安世半导体中国区遭“断薪断权”?闻泰科技回应:将采取独立自救行为
- 2025-10-18苏格兰超级联赛_韩国官员:中方制裁,必然影响“让美国造船业再次伟大”
- 2025-10-18皇冠信用网怎么开户 _特朗普再次对华“宣战”,一旦被判定非法,中国将全面打赢关税战
- 2025-10-17皇冠信用網如何注册 _女子以“内购房”诈骗40余人2600余万,被捕后7次因怀孕、哺乳期取保
- 2025-10-16皇冠信用网登2代理 _高市早苗出局,党内政变开始!石破茂傻眼:日本这烂局最终还是得他来收拾
- 2025-10-16皇冠信用出租足球 _北京一公司利用AI技术伪造央视主持人卖鱼油,市场监管部门查处!
- 2025-10-16皇冠信用出租足球 _广西北部湾港集团董事长刘胜友出任柳州市委副书记,提名为市长候选人
- 2025-10-15皇冠信用出租 _乒乓球亚锦赛|打满25局!中国男团极限逆转日本队晋级决赛
- 2025-10-15皇冠信用盘占成代理 _美军也敢单挑解放军?美智库:若在台海动武,补给难度远超诺曼底
- 2025-10-15皇冠信用网代理 _A股调整何时休?最新解读来了
网友评论